Διεκδίκησε το χαμόγελο
που σου αξίζει
που σου αξίζει
Υπηρεσίες
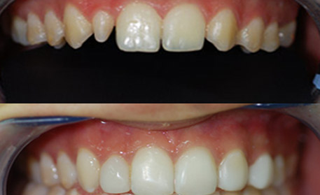
Ο τομέας αυτός προσφέρει πολλές σύγχρονες τεχνικές με τις οποίες
μπορείτε να αναδιαμορφοσετε και βελτίωσετε το χαμόγελο σας.
Το εμφύτευμα είναι μία «βίδα» από τιτάνιο που μιμείται τη ρίζα του δοντιού,
τοποθετείται στο οστό της γνάθου και αντικαθιστά το χαμένο δόντι.
Είναι ο τομέας της οδοντιατρικής ο οποίος ασχολείται με τη διάγνωση και τη θεραπεία των
νόσων του πολφού.
Είναι ο τομέας της οδοντιατρικής που ασχολείται με την αντιμετώπιση των
νόσων του περιοδοντίου, δηλαδή των ιστών που περιβάλλουν τα δόντια.
Η πρόληψη αποτελεί την καλύτερη θεραπεία. Ανακαλυψτε με ποιους τρόπους μπορείτε να φροντίσετε
τα δόντια σας.
Τύπος - Δημοσιεύσεις
Από: Madame Figaro
«To 'lifting' των δοντιών είναι πια γεγονός», εξηγεί η Ελεονώρα Ρήγα, DMD χειρουργός οδοντίατρος.
Το χαμόγελό μας αποτελεί τη δύναμη της εμφάνισής μας και μπορεί πλέον να γίνει ακόμα ομορφότερο
με πολύ άμεσο και ανώδυνο τρόπο. Για την αποκατάσταση της χαμένης αισθητικής του στόματος από
τραυματισμό, οδοντιατρική πάθηση ή γήρανση,
Επικοινωνία

Ελεονώρα Ρήγα
Χειρούργος Οδοντίατρος
Ειδικευθείσα στην Αισθητική Οδοντιατρική
New York University
Επιστημονικός Συνεργάτης Πανεπιστημίου Αθηνών Ασκληπιού 35, 106 80 Αθήνα Τηλ: 210 3601990 E-mail: mysmiledesigngr@gmail.com
New York University
Επιστημονικός Συνεργάτης Πανεπιστημίου Αθηνών Ασκληπιού 35, 106 80 Αθήνα Τηλ: 210 3601990 E-mail: mysmiledesigngr@gmail.com














